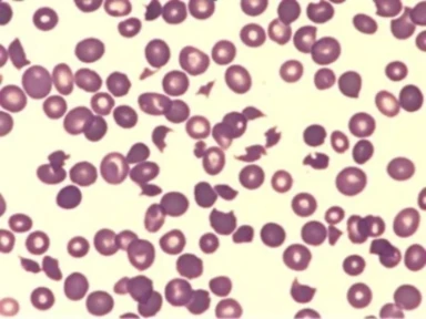
TTP is rare and presents similarly to other thrombotic microangiopathies (TMAs), making it difficult to diagnose.
Early diagnosis and treatment of Thrombotic thrombocytopenic purpura (TTP) can help prevent the high risk of early deaths.
Olet poistumassa Sivustolta campus.sanofi/fi. Sanofi ei ole vastuussa tämän ulkoisen verkkoSivuston sisällöstä.
Tämä sivusto on suunnattu terveydenhuollon ammattilaisille. Vahvista valinta päästäksesi näkemään sisältöjä kuten videoita, podcasteja ja muita materiaaleja.